Niềng răng lộn xộn, hàm hẹp, khớp cắn ngược bằng mắc cài mặt lưỡi

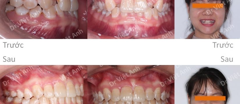
Tình trạng trước khi niềng răng tại trung tâm niềng răng chuyên sâu thạc sĩ bác sĩ nội trú Việt Anh: răng hai hàm đều lộn xộn, có 2 răng cửa bên hàm trên bị cắn ngược kẹt phía sau hàm dưới, hàm dưới hẹp

Phương án niềng răng mặt trong: sắp đều răng hai hàm, điều chỉnh dây cung để đẩy cả chân răng cửa bên ra ngoài, hàm dưới nong nhẹ bằng dây cung, không cần dùng hàm nong

Kết quả niềng răng mặt trong: răng đều đẹp cân đối, khớp cắn khá tốt, cung hàm dưới được nong rộng hài hòa

So sánh ảnh trước và sau niềng răng mặt trong: răng đều hơn hẳn, răng cửa bên không còn bị cắn ngược, nụ cười tự tin hơn nhờ hàm răng đều

Share:

Trả lời