Giảm răng chìa và khấp khểnh bằng mắc cài mặt trong không cần nhổ răng số 4

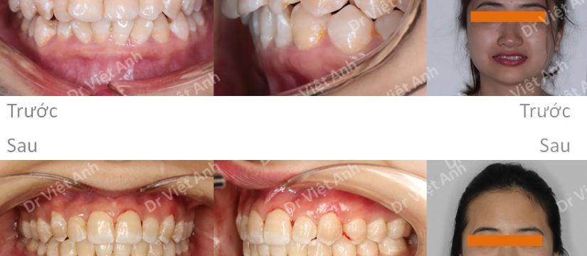
Hình ảnh trước khi niềng răng tại trung tâm niềng răng chuyên sâu Thạc sĩ Bác sĩ nội trú Việt Anh: răng hai hàm lộn xộn, răng cửa hàm trên trục răng chìa ra trước

Phương án niềng răng mắc cài mặt trong: vì góc nghiêng không hô và thiếu khoảng không nhiều nên bác sĩ quyết định không nhổ răng, tiến hành sắp đều răng, kéo lùi toàn hàm bằng minivis kết hợp mài kẽ răng

Kết quả  niềng răng mắc cài mặt trong: răng đều đẹp, khớp cắn ổn định, răng cửa thẳng trục

So sánh ảnh trước và sau niềng răng mắc cài mặt trong: răng đều hơn, đỡ chìa, nụ cười đẹp

Share:

Trả lời