Niềng răng móm, khớp cắn ngược, kéo đóng khoảng mất răng hàm trên bằng mắc cài mặt lưỡi

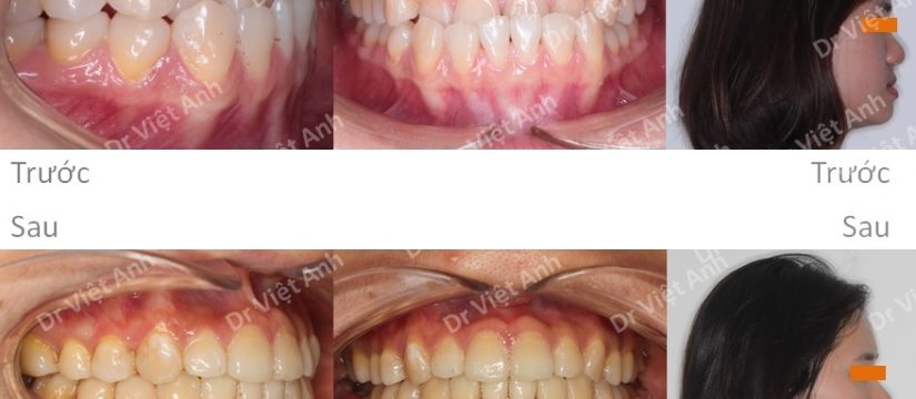
Hình ảnh trước khi niềng răng tại trung tâm niềng răng chuyên sâu Thạc sĩ Bác sĩ nội trú Việt Anh: khách hàng có tình trạng khớp cắn ngược, góc nghiêng móm, răng hàm trên lộn xộn, đã mất 1 răng số 5 hàm trên bên trái

Phương án niềng răng mắc cài mặt trong: kéo lùi toàn hàm dưới bằng vis, hàm trên sắp đều răng và kéo đóng khoảng mất răng số 5 để không phải trồng răng giả

Kết quả  niềng răng mắc cài mặt trong: răng đều, độ cắn phủ bình thường, khớp cắn lồng múi ổn định

So sánh ảnh trước và sau niềng răng mắc cài mặt trong: hết khớp cắn ngược, đường giữa hai hàm cân đối nhau hơn, răng đều hơn, góc nghiêng đỡ móm do môi dưới kéo vào

Share:

Trả lời