Một khách hàng nữ 29 tuổi tới khám tư vấn niềng răng mặt trong vì có một chiếc răng cửa bị cắn ngược, nghĩa là răng cửa trên nằm sau răng cửa dưới, kèm theo tình trạng chen chúc nhẹ vùng răng cửa hai hàm. Khớp cắn ngược dù một răng vẫn gây ảnh hưởng đến chức năng, có thể gây rối loạn khớp thái dương hàm, nên điều trị càng sớm càng tốt. Khách hàng này làm công việc phải giao tiếp nhiều nên không thể đeo được mắc cài mặt ngoài.

Qua thăm khám niềng răng, phân tích mẫu hàm, phim xquang, bác sĩ niềng răng mặt trong chuyên sâu xác định đây là một trường hợp mà khớp cắn răng hàm tương đối tốt, có thể thực hiện niềng răng mặt trong tối thiểu (Social six) nhằm giảm chi phí (giá niềng răng tối thiểu chỉ bằng 60% so với niềng răng toàn hàm).

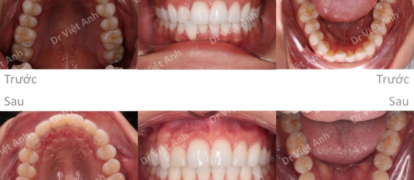
Bệnh nhân được gắn mắc cài mặt lưỡi ở các răng phía trước của cả hai hàm. Vì mắc cài nằm ở mặt trong răng nên không gây ảnh hưởng gì đến giao tiếp. Chỉ sau 6 tháng, các răng đã sắp xếp đều đặn, khớp cắn ổn định nên bác sĩ chỉ định tháo mắc cài và đeo khí cụ duy trì cố định mặt trong răng.

So sánh ảnh trước và sau niềng, có thể thấy được hàm răng chen chúc lộn xộn vùng răng cửa tuy nhẹ nhưng đã được sắp xếp lại đều đặn, cân đối. Những trường hợp này một số nha khoa sẽ chỉ định bọc răng sứ, vì nhanh hơn, ít gây khó chịu hơn. Niềng răng tuy mất thời gian nhưng kết quả nhận được lại rất xứng đáng, vì bạn vẫn giữ nguyên được hàm răng thật của mình.

