Niềng răng mặt trong điều trị ca khấp khểnh nặng, khớp cắn đối đầu, hô hàm dưới

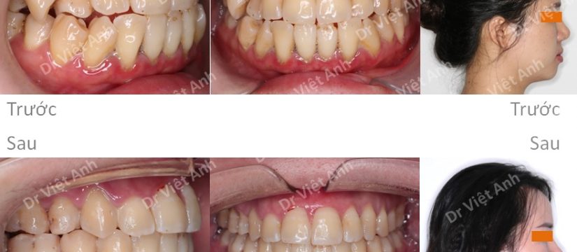
Tình trạng trước khi niềng răng mặt trong tại trung tâm niềng răng chuyên sâu thạc sĩ bác sĩ nội trú Việt Anh: răng khấp khểnh nặng, răng số 3 và số 4 hàm trên bên phải bị chuyển vị (hoán đổi vị trí cho nhau). Khớp cắn đối đầu do răng cửa dưới chìa ra ngoài. Tình trạng vệ sinh răng miệng kém.

Phương án niềng răng mặt trong: mắc cài mặt lưỡi CLB đa rãnh. Hàm trên nhổ răng số 4 bị chuyển vị và bên trái nhổ răng số 5. Hàm dưới nhổ 2 răng số 4, kéo lui răng cửa dưới tối đa để khắc phục tình trạng khớp cắn hạng 3 đối đầu.

Kết quả niềng răng mặt trong: răng đều đặn, đường giữa răng cửa hai hàm trùng nhau. Không còn tình trạng khớp cắn đối đầu. Các răng lồng múi tốt. Cung duy trì dán ở cả hai hàm.

So sánh ảnh trước và sau niềng răng mặt trong: răng đều hơn hẳn, răng cửa trên phủ ra ngoài răng cửa dưới, không còn bị khớp cắn đối đầu; góc nghiêng hài hòa hơn do kéo môi dưới vào phía sau môi trên.

Share:

Trả lời