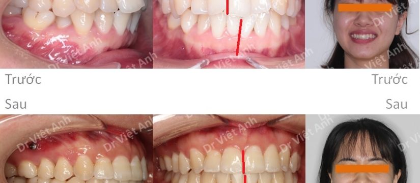
Hình ảnh trước khi niềng răng tại trung tâm niềng răng chuyên sâu Thạc sĩ Bác sĩ nội trú Việt Anh: răng lộn xộn cả hai hàm, góc nghiêng không hô, đường giữa răng hàm trên và răng hàm dưới lệch nhau nhiều, hẳn 1 chiếc răng

Phương án niềng răng mắc cài mặt trong: không nhổ răng, mài kẽ để tạo khoảng sắp đều răng, dùng vis kéo lùi toàn hàm giảm chìa và chỉnh đường giữa

Kết quả niềng răng mắc cài mặt trong: răng đều, khớp cắn lồng múi ổn định, nụ cười đẹp

So sánh ảnh trước và sau niềng răng mắc cài mặt trong: răng đều hơn, đỡ lệch đường giữa răng 2 hàm, nụ cười đẹp hơn

