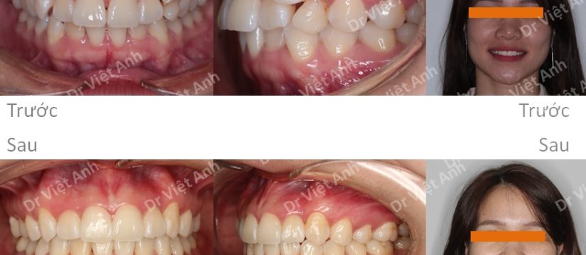
Hình ảnh trước khi niềng răng tại trung tâm niềng răng chuyên sâu Thạc sĩ Bác sĩ nội trú Việt Anh: răng lộn xộn cả hai hàm, hàm trên có răng nanh bên trái bị khểnh hẳn ra ngoài cung, còn răng sữa

Phương án niềng răng mắc cài mặt trong: chỉ nhổ răng sữa và mài kẽ để loại bỏ tam giác đen, tạo khoảng sắp đều răng, không cần dùng vis

Kết quả niềng răng mắc cài mặt trong: răng đều, hết khấp khểnh, đường giữa cân đối, khớp cắn lồng múi chuẩn.

So sánh ảnh trước và sau niềng răng mắc cài mặt trong: răng đều hơn, hết răng khểnh, nụ cười đẹp hơn hẳn.
1
