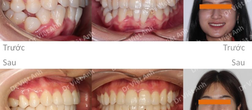
Hình ảnh trước khi niềng răng tại trung tâm niềng răng chuyên sâu Thạc sĩ Bác sĩ nội trú Việt Anh: cung răng hàm trên vuông, phần răng cửa không có độ cong, hàm dưới lộn xộn nặng, khớp cắn đối đầu

Phương án niềng răng mắc cài mặt trong: khách hàng đã tư vấn tại một số cơ sở niềng khay invisalign nhưng được tư vấn nhổ 1 răng cửa dưới. Khách hàng lại không muốn nhổ răng. Phương án đưa ra là mài kẽ răng và kéo lùi toàn bộ hai hàm bằng minivis.

Kết quả niềng răng mắc cài mặt trong: răng đều, cung răng tròn đẹp, khớp cắn chuẩn lồng múi, độ cắn trùm cắn chìa tối ưu, vẫn đủ 28 răng (không tính răng khôn)

So sánh ảnh trước và sau niềng răng mắc cài mặt trong: răng đều hơn hẳn, hết khớp cắn đối đầu, nụ cười đẹp hơn

