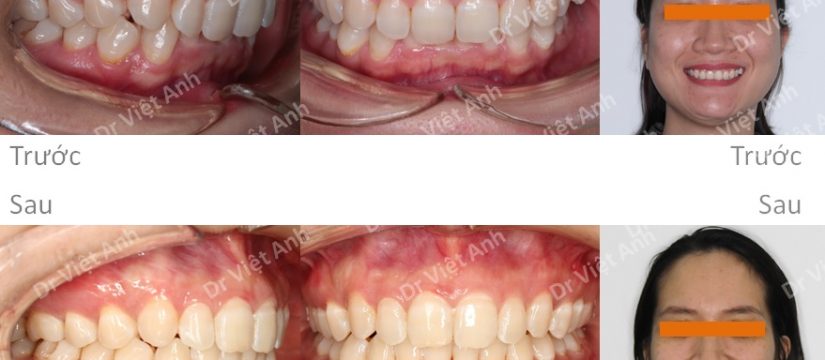
Hình ảnh trước khi niềng răng tại trung tâm niềng răng chuyên sâu Thạc sĩ Bác sĩ nội trú Việt Anh: răng cửa hàm trên cụp, trùm lên che hết răng cửa hàm dưới, khớp cắn sâu, răng hơi khấp khểnh

Phương án niềng răng mắc cài mặt trong: sắp đều răng và làm phẳng cung răng 2 hàm, dựng trục và đánh lún răng cửa hàm trên, kéo lùi toàn hàm trên ra sau bằng minivis

Kết quả niềng răng mắc cài mặt trong: răng đều, độ cắn trùm hợp lý, trục răng thẳng, khớp cắn ổn định

So sánh ảnh trước và sau niềng răng mắc cài mặt trong: hết khớp cắn sâu, răng cửa hết cụp, cười đỡ hở lợi

