Niềng răng mặt trong khắc phục răng lộn xộn, cắn chéo răng hàm

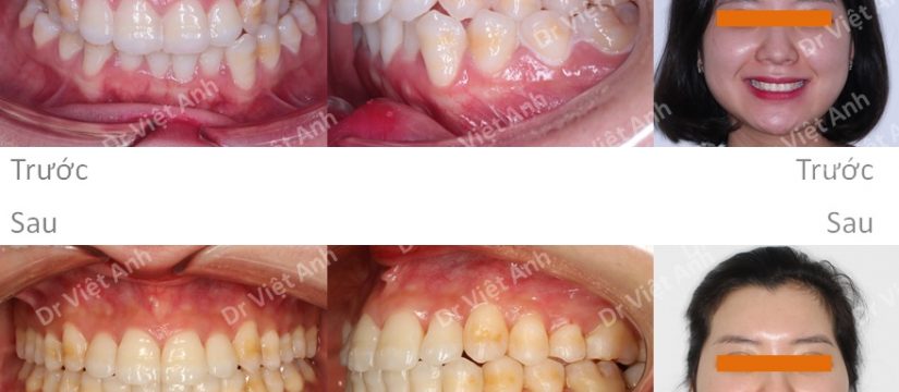
Hình ảnh trước khi niềng răng tại trung tâm niềng răng chuyên sâu Thạc sĩ Bác sĩ nội trú Việt Anh: răng hàm dưới hơi lộn xộn, cung răng hàm trên hẹp, cắn chéo răng hàm

Phương án niềng răng mắc cài mặt trong: nong rộng hàm trên, mài kẽ răng để tạo khoảng sắp đều răng

Kết quả  niềng răng mắc cài mặt trong: răng đều, khớp cắn lồng múi ổn định, có độ cắn phủ hàm trên ra ngoài hàm dưới

So sánh ảnh trước và sau niềng răng mắc cài mặt trong: hết tình trạng cắn chéo răng hàm, hết khấp khểnh, nụ cười tươi hơn

Share:

Trả lời