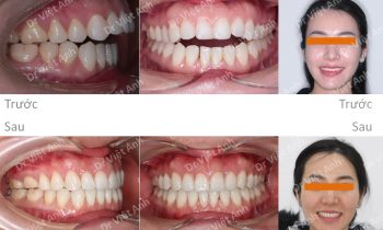
Một ca khớp cắn hở, răng thưa và khấp khểnh, cười lệch được khắc phục bằng mắc cài mặt lưỡi
Hình ảnh trước khi niềng răng tại trung tâm niềng răng chuyên sâu Thạc sĩ Bác sĩ nội trú Việt Anh: răng khấp khểnh nhẹ, khớp cắn hở, hàm dưới răng cửa thưa, hàm trên răng cửa bị nghiêng nhìn cười méo Phương án niềng răng mắc cài mặt trong: sắp đều răng 2 hàm,…
